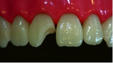
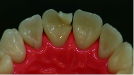
В современной стоматологии можно не только вылечить зубы, но и провести реставрацию передних зубов, причем художественную. Реставрация представляет собой восстановление формы зуба и функции зубного ряда.С помощью реставрации можно восстановить форму и сохранить естественный вид зубов.
![]() |
![]() |
![]() |
![]() |
Технология
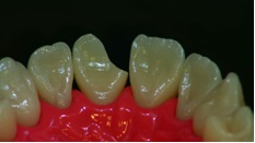
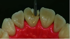
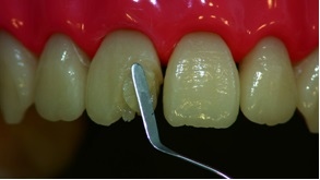
Процедура представляет собой обработку полости и последовательное внесение качественного светоотверждаемого материала. Материал достаточно пластичен и застывает под воздейстивем света , что позволяет врачу смоделировать форму поэтапно не торопясь.
![]() |
![]() |
![]() |
![]() |
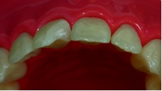
Для восстановления поверхностей зубов используются специальные материалы. С помощью них врач возвращает (создает) утраченную форму и цвет. Такая процедура требуется, если зубы подверглись поражениям кариеса, механическим повреждениям или в силу возраста.
![]() |
![]() |
![]() |
![]() |
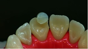
При эстетической реставрации передних зубов в первую очередь удаляются старые пломбы , которые со временем темнеют.
![]() |
![]() |
![]() |
![]() |
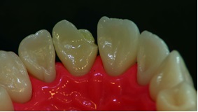
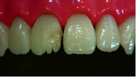
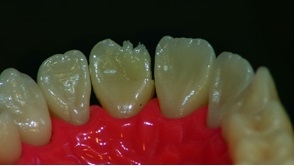
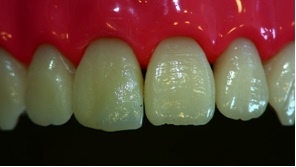
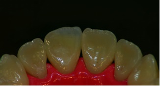
Достоинства такой реставрации это прочность , невозможность отличить отреставрированную поверхность от природной эмали, отсутствие необходимости сильно обтачивать зубные ткани, выполнение процедуры за одно посещение.
![]() |
![]() |
![]() |
![]() |
![]() |
![]() |
Минус — через 5–10 лет его придется менять, это происходит из-за постепенной «съедаемости» и микронной усадки и пористости материала .
![]() |
![]() |
![]() |
![]() |
![]() |
![]() |
Добавить комментарий:
You must be logged in to post a comment.



























